Discuz! Board

 找回密码
 立即注册
搜索
热搜: 活动 交友 discuz
查看: 160|回复: 0

【读书笔记】5种先天性肝脏变异CT分析

[复制链接]

1万

主题

1万

帖子

5万

积分

管理员

Rank: 9Rank: 9Rank: 9

积分
58026
发表于 2020-9-16 19:39:24 | 显示全部楼层 |阅读模式


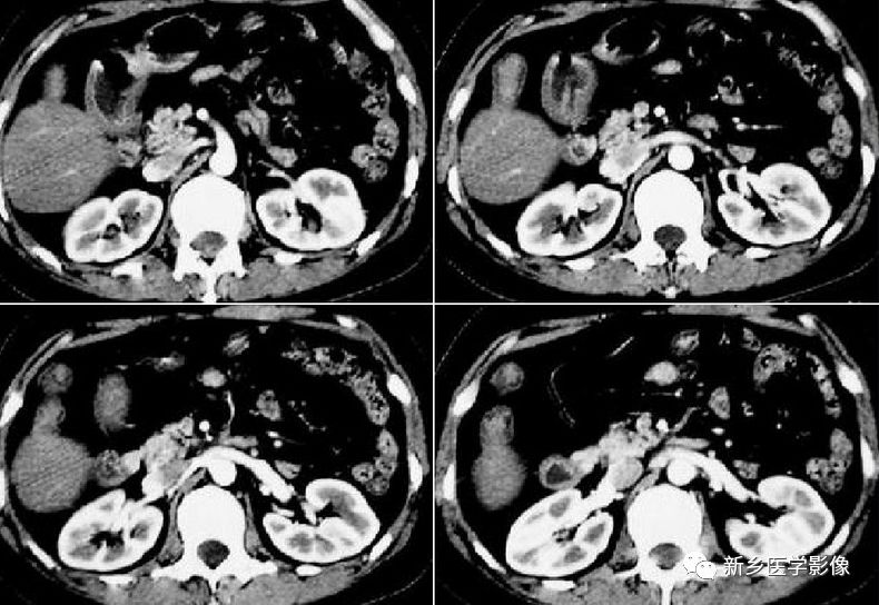
1.临床概述

    肝先天变异包括肝的形态变异、肝动脉变异、门静脉变异和肝静脉变异,以肝形态变异最常见。肝形态变异源于肝叶的先天性发育异常,为胚胎时期的门静脉、肝动脉和肝内胆管的分化异常,导致肝在胚胎期受血供影响而发育异常,产生形态学变异。

2.CT表现及鉴别诊断

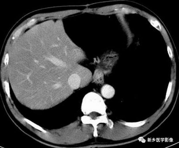
1先天性肝叶肥大:


左叶肥大最常见,尾叶肥大次之。表现为体积增大,肥大的肝左叶最大前后径大于右叶,或异常延长。尾叶肥大:尾叶呈分叶状或球形增大。尾叶肥大与外生性肝癌鉴别:前者密度均匀,边缘光滑,血管走行自然,平扫及增强密度同肝实质。


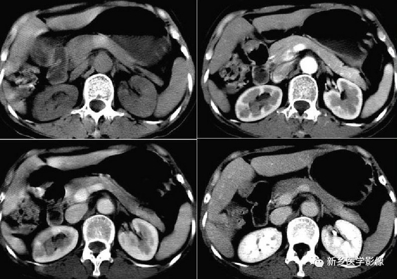
2先天性肝叶缩小:

 

肝左叶缩小常见,左侧缘不超过中线左侧;动脉期可见一过性灌注异常,门静脉期及平衡期与右叶同步强化,其内血管分布正常。鉴别诊断:术后改变;慢性期肝梗死;创伤后期、慢性门静脉或胆管阻塞;严重营养不良。


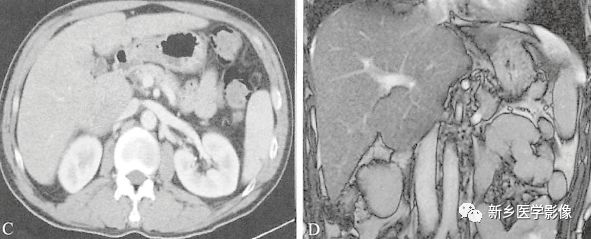
3先天性肝叶缺如:

 

肝右叶缺如居多,多合并胆囊缺如,左叶代偿性增大,密度均匀,常合并肝内胆管轻度扩张;增强扫描门静脉主干及左支增粗,右支不显影。鉴别诊断:术后改变;肝硬化;创伤。


4分叶肝:

 

肝边缘凹凸不平呈分叶状,如合并肝裂增宽者,可见间位结肠;鉴别诊断:自身免疫性肝炎、肝硬化。


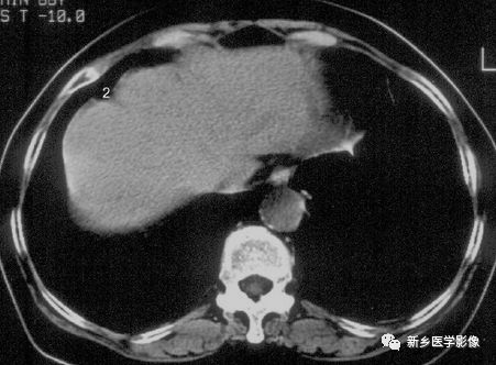
5肝副叶:

    

肝右叶后下方舌状突出,逐渐变小又突然变大,密度与肝实质相近,与肝脏相连。增强扫描与肝实质同步强化,特征性表现:正常肝脏内血管进入其内。鉴别诊断:肿瘤病变。



【版权声明】:本文由整理发布,资料源自新乡医学影像,版权归原作者所有,转载请注明来源!


微信ID:yxiubang
长按左侧二维码关注


回复

使用道具 举报

您需要登录后才可以回帖 登录 | 立即注册

本版积分规则

Archiver|手机版|小黑屋|Comsenz Inc. ( 浙ICP备17000336号-1 )

GMT+8, 2025-12-18 01:39 , Processed in 0.067386 second(s), 33 queries .

Powered by Discuz! X3.4

© 2001-2017 Comsenz Inc.

快速回复 返回顶部 返回列表