Discuz! Board

 找回密码
 立即注册
搜索
热搜: 活动 交友 discuz
查看: 172|回复: 0

迈瑞DP-50便携式超声显示器故障分析

[复制链接]

1万

主题

1万

帖子

5万

积分

管理员

Rank: 9Rank: 9Rank: 9

积分
58026
发表于 2020-9-16 19:38:58 | 显示全部楼层 |阅读模式

在日常使用过程中,医用超声设备经常出现一些故障,包括硬件故障和软件故障。产生故障的原因可能是多方面的,包括不正确的使用方式,元器件老化、积尘,电路负载、 短路等。由于超声设备并非治疗设备,如故障不影响超声图像显示质量,一般的超声故障并不会对患者的身体产生直接的损害。


但由于超声检查的普遍性,大部分医院的超声设备基本都是满负荷运转的,一旦超声设备因故障原因停机,会对病患的疾病筛查的及时性产生影响。


本文所介绍的超声设备型号为迈瑞DP-50,此款超声为一款黑白便携式超声设备,该产品属于该品牌的高端黑白超声系列,其具有基本的疾病筛查功能,且轻盈便携(重量只有5 kg 左右)。


本文重点介绍该型号超声的一例显示器故障,通过描述故障现象及解决过程,为类似设备故障提供参考,以便于维修工程师在遇到相关故障时能够迅速找到故障原因并进行修复。


设备基本情况 

01


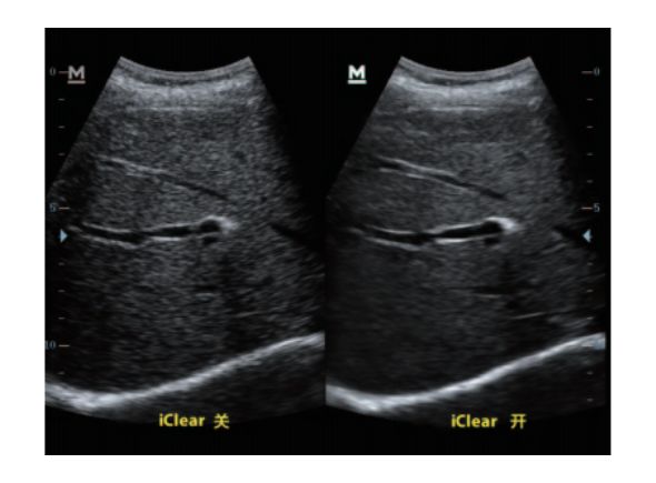
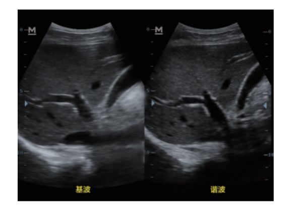
设备型号DP-50 全自动便携式超声诊断系统(迈瑞),该设备为DP 系列超声的较高级版本,具有iTouch 图像一键优化、 iBeam 复合成像、iClear 斑点噪声抑制、宽带频移谐波等技术。



医用超声基本原理

医用超声原理较为简单,其通过向人体组织发射超声波,由于人体组织的具有的声学特异性,不同组织界面处 产生反射、折射、散射、绕射、衰减以及声源与接收器相对运动产生多普勒频移等物理特性,这些反射、散射等信号被超声仪器所接收并经过处理显示在显示器上,从而使医师能够通过超声声像图对组织形态进行观察、判断。


 设备故障

03


故障现象:

正常开机一段时间后,显示器有时会出现水平方向的一条带状亮线,影响超声图像的观察。


故障分析:

 通过故障现象首先判断,原因可能是显示器场扫描电路出现故障,首先考虑电路内有接触不良,对线路板仔细检查,排出接触不良引起的故障。对场电路元件用电阻测量法没有发现异常。


由于故障不是随时出现,出现后又会转为正常。仔细观察水平亮下方有0.5 cm 宽的亮度较低的扫描线。初步判断场扫描电路中的元件之一出现性能不稳定。


场扫描电路由场振荡级、激励级、场输出级和场偏转线圈组成。场振荡电路由自激式间歇振荡产生50 Hz 的锯齿波振荡电压,在场同步信号的控制下,向激励级输出同步锯齿波振荡电压。激励级作用对锯齿波振荡电压信号进行功率放大,使该信号足够推动场输出级工作。


场输出电路实际是一个低功率放大器,它的负载是场偏转线圈,由于场频较低,偏转线圈的感抗远小于它直流电阻,在扫描正程是功率放大器,而逆程期间,由于时间短,感抗作用增加,偏转线圈两端会产生很高的感应电压,高于电源电压。该机场输出采用OTL 电路(图1),



互补对称的两个场输出管的轮流导通和截止对应场扫描正程前半段和后半段以及逆程前半段和后半段。整个过程扫描正程后半段和逆程后半段BG2 导通。其他3个半段BG1 工作,正程前半段和逆程后半段BG1 正向导通,逆程前半段BG1 工作在反向导通。使 BG1 工作在反向导通电压来自源逆程期间场偏转线圈高的感应电压,建立反向导通条件之一集电极正偏是自举电容 C2 作用。


故障解决:

通过带电测量发现场振荡级、激励级工作正常,输出级 BG2 工作正常,BG1 不工作。测量BG1 管和它的偏置电路元件无异常,由于故障现象时有时无,是软故障,元件测量不一定能找出故障点,估计自举电容C2有问题,更换C2 后设备恢复正常。


故障总结

03


扫描正程后半段 BG2 能正常工作导通,观察水平带状 亮线下方有约0.5 cm宽的亮度较低的扫描线也说明这一点。 扫描正程后半段只有很小一部分,是由于正常情况输出级与偏转线圈之间耦合电容 C1。在正常情况下,扫描正程前半段在电源电压E 13 V 充电,正程后半段作为偏转线圈电源对BG2 导通时放电,然而BG1 没工作,实际电容在低于电源电压E/2 下充电,是由于BG2 导通时偏转线圈放电 时电流很小所致。


自举电容C2 主要功能 :在扫描正常工作时,逆程前半段激励信号时间短、变化快,使偏转线圈产生比电源电压高13 V 左右的感应电压,BG1 发射极电压远高于集电极,C2 自举作用后,基极电压也高于集电极,集电结正偏,BG1 反向饱和导通。偏转线圈和C1 对 BG1 与电源放电(逆程前半段),当偏转线圈和 C1 两端电压消耗到 E/2 后, BG1 正向导通(逆程后半段),当C2 有故障时无法完成上 速过程。


 讨论

04


该型号便携式超声检测仪显示器的基本原理并不复杂, 对于此类故障的检修,有两个关键点 :


① 通过故障现象迅 速定位到大体模块,本文所分析故障就是通过故障现象迅 速判断,故障点可能为显示器场扫描电路 ;

② 对设备电路图十分熟悉了解,对相关模块电路图的了解有助于迅速排查缩小故障范围,同时有利于将具体的电路模块与故障现象对应起来,只有在了解电路图的基础上,才能做得精准判断、节省维修成本。 


本文所描述的故障属于超声图像异常,一般来说,超声检测系统常见故障除了以上描述的故障外,还包括主机故障、超声探头故障、异常停机等。面对不同的故障时, 首先要对故障现象进行系统的分析,然后再采用排除法逐步缩小故障范围,最后进行维修解决故障。同时在日常工作中,要定期第超声设备进行维护和质控保养,对超 声使用人员进行定期培训,规范使用流程,减少由于超声系统故障对于患者疾病检测的负面影响。


tips:


iTouch图像一键优化:

iBeam复合成像:

iClear斑点噪声抑制:

宽带频移谐波技术:

新增临床应用功能:


【版权声明】:本文由整理发布,资料源自中国医疗设备杂志,版权归原作者所有,转载请注明来源!


微信ID:yxiubang
长按左侧二维码关注


回复

使用道具 举报

您需要登录后才可以回帖 登录 | 立即注册

本版积分规则

Archiver|手机版|小黑屋|Comsenz Inc. ( 浙ICP备17000336号-1 )

GMT+8, 2025-12-17 23:55 , Processed in 0.068940 second(s), 33 queries .

Powered by Discuz! X3.4

© 2001-2017 Comsenz Inc.

快速回复 返回顶部 返回列表