Discuz! Board

 找回密码
 立即注册
搜索
热搜: 活动 交友 discuz
查看: 70|回复: 0

超声探头的操作及临床应用——超声探头操作篇(一)

[复制链接]

1万

主题

1万

帖子

5万

积分

管理员

Rank: 9Rank: 9Rank: 9

积分
58026
发表于 2020-9-25 12:55:03 | 显示全部楼层 |阅读模式

探头是超声设备的核心部件,探头的优劣是超声图像质量的基础和先决条件。因此行业内巨头通过选择收购技术成熟的探头厂家或者选择自主研发的方式来提升探头的质量。


目前国外超声领域大品牌有“GPS”,国产超声近年来也纷纷崛起,于2002年成立的开立医疗目前已迈入全球超声10强,得益于先进的探头工艺,使得其能够在竞争激烈的超声领域中突出重围。开立在探头自主研发和制造领域以技术含量高、种类全、质量过硬而闻名,这也是开立在超声领域能够与国内外同行较量的底气,今天本文以开立为例为大家盘点下超声探头。


本系列共有超声探头操作、常规探头、特殊探头三篇,此篇为第一篇。

超声探头


不同的探头对应于不同的临床领域,不同的探头频率也应用于不同的人体组织。超声波在人体中的衰减与探头频率有关,探头频率越高,穿透力越弱,分辨率越高,而探头频率越低,穿透力越强,分辨率越低。因此在检查浅表器官时应选用高频探头,而检查深部脏器时则选用穿透性强的低频探头。

01

Mark点

Mark点:每一把探头都有一个mark点,是用于定位方向, mark点一侧始终对应着图像S点(图像箭头标识)一侧。

 
02

超声探头的使用方法

(1)执笔式:类似于执毛笔,以拇指、食指和中指握持。


主要通过指关节运动完成主要基本动作,以掌根尺侧或小指接触患者胸廓作为支点,以保持图像稳定。


(2)握持式:常用于剑突下切面的获取。



03

超声平面获取的手法技巧

(1)滑:整个超声探头平面紧贴受检区域皮肤,沿着一定方向滑行。


左室长轴



(2)摇:整个超声探头平面紧贴受检区域皮肤,以超声探头与胸壁的接触点为支点,将超声探头左右摇摆,观察整个切面。


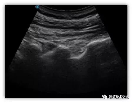
腰椎小关节



(3)倾:整个超声探头平面紧贴受检区域皮肤,以超声探头与胸壁的接触点为支点,将超声探头前后倾斜,观察不同切面。


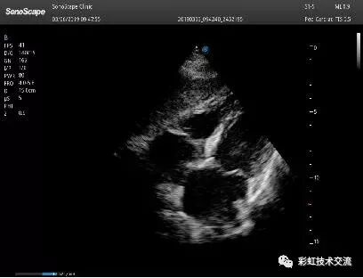
剑下四腔



(4)转:整个超声探头平面紧贴受检区域皮肤,以超声探头与胸壁的接触点为支点,超声探头以自身中轴线顺时针或逆时针方向旋转一定角度。


四腔心



温馨提示:

为了获得理想的图像,除应该注意仪器的调节外,还必须注意以下的一些基本程序和手法:

1、要避免气体的干扰,比如在某些空腔脏器和深部组织检测时充盈液体,如饮水后充盈胃腔以清除胃内气体,便于观察胃腔内的病变或以此为“透声窗”观察胰腺等;同时,必须充分涂耦合剂以清除探头与皮肤间薄层气体,减少声能的衰减;


2、利用某些生理解剖特点进行观察。如:空腹时胆囊内胆汁充盈,便于观察胆囊内病变;又如呼吸配合,必要时可利用Valsalva动作使肺内与胸内压升高,以减少静脉回流从而可使肝静脉和下腔静脉显示清晰。


3、用不同切面连续扫查脏器及病灶。


超声探头的操作就讲到这里。。。转载文章

扫码关注最新动态


ingFang SC", "Hiragino Sans GB", "Microsoft YaHei UI", "Microsoft YaHei", Arial, sans-serif;font-size: 16px;font-style: normal;font-variant-ligatures: normal;font-variant-caps: normal;font-weight: 400;letter-spacing: 0.544px;orphans: 2;text-align: justify;text-indent: 0px;text-transform: none;white-space: normal;widows: 2;word-spacing: 0px;-webkit-text-stroke-width: 0px;background-color: rgb(255, 255, 255);text-decoration-style: initial;text-decoration-color: initial;" />


回复

使用道具 举报

您需要登录后才可以回帖 登录 | 立即注册

本版积分规则

Archiver|手机版|小黑屋|Comsenz Inc. ( 浙ICP备17000336号-1 )

GMT+8, 2026-3-30 20:08 , Processed in 0.083155 second(s), 33 queries .

Powered by Discuz! X3.4

© 2001-2017 Comsenz Inc.

快速回复 返回顶部 返回列表