Discuz! Board

 找回密码
 立即注册
搜索
热搜: 活动 交友 discuz
查看: 101|回复: 0

GE Vivid E9彩超故障维修体会及分析

[复制链接]

1万

主题

1万

帖子

5万

积分

管理员

Rank: 9Rank: 9Rank: 9

积分
58026
发表于 2020-9-16 22:59:06 | 显示全部楼层 |阅读模式



来源:网络


引言


随着充血性心力衰竭和瓣膜病患者的持续增加,需要前所未有的图像质量、定量诊断和临床性能”。超声技术近年来在不断地发展,GEVivid E9彩超诊断系统是目前国际上最高端的心脏专科彩超设备之一,是目前最高端的心脏专用超声诊断机,被誉为心血管彩色多普勒超声诊断系统顶级之作。

应用于的心脏疾病检查的高端超声设备,目前国内外还有不少品牌,常见有飞利浦IE33,西门子Acuson SC2000东芝Artida,日立阿洛卡Alpha10等。相对这些品牌的彩超,GE Vivid E9有其自身的特点。


GE Vivid E9照声在应用心脏疾病检查时采用多种成像技术,具有细微分辨率高、彩色血流充盈度好、对低速血流敏感度高等优点。据报道,该类超声常见的故障有轨迹球运行不灵敏,散热风扇不转,显示器数据线接触不良等。为确保高端设备的正常运行,日常工作中做好预防维护,以保障临床需要。但在使用过程中,部分少见的故障仍需引起重视。


我院于2012年和2013年先后购置一台GE Vivid E9彩超。现将工作中遇到的一些问题及解决办法分析如下,供同行们参考。



一、我院“主机后端主板故障”一例情况分析


故障描述:

VE9开机后主显示器提示无法进入系统,接着进度条过程中有报错信息,提示需要关机,然后自动黑屏死机。


故障分析与处理:

VE9主机硬件主要由以下四大部分组成:

①主电源:提供整机所需电源;

②后端处理系统:系统控制及超声图像处理;

③前端处理系统:超声波生成及接收;

④操作台:(键盘、触摸屏和显示器)。


根据故障表现,是由于前后端通讯失败造成,有以下几种可能:

(1)主机后端处理系统主板故障;

(2)主电源部分输出电路故障;

(3)前端处理系统的通讯控制板故障;

(4)前后端连接线故障。


先从简单入手:前后端连接线,拔插紧固连接线,重启可以启动成功。初期以为故障已经解决,结果机器使用几天后再次出现故障,而且这次故障更加严重:开机后主显示器无图像显示,检查后端主板,CPU风扇转几下后就停转,确定主板没起来,查看后端电源指示灯,输入电压指示灯正常。综合之前出现的故障,判断是主机后端主板故障。


解决方法:

更换后端处理系统的主板,故障解决。




二、外院三例故障分析


我们虚心向维修工程师学习,并根据工程师所提供的资料,分析以下三种故障。


例1

“扁口电缆故障致图像干扰故障”


故障描述:

17-inchLCD显示器变色和有水纹的情况,但是工作站上显示的图像是正常的。


故障分析与处理:

根据故障现象判断机器的显卡输出是正常的,是显示器自身的问题。首先,保存几张图片,接着检查显示器的POWER/USB CABLE和HDMI CABLE,并且将HDMI CABLE连接到外接显示器发现显示的图像正常,说明 HDMI CABLE完好,输出信号正常。


然后,将显示器的后盖打开,根据Main 17-inch LCD Monitor Block Diagram(图一),将内部的接线逐一重新连接。


当接触连接到VIDEOCNTL的扁口线缆的时候,显示器显示的图像正常。为了确认不是显示器偶尔的偶然性恢复,将扁口电缆稍微晃动一下,显示器又出现变色和有水纹的情况,终于确定了故障点。该扁口线缆原来设计是直接连接的,目前改善后用热熔胶紧固。将扁口线缆紧固后显示器显示图像正常,之前保存在剪贴板的图像也是正常的!


解决方法:

用热熔胶紧固连接到显示器内部VIDEO CNTL的扁口线缆,故障解决。



例2

“应用条件设置问题致显示器异常”


故障描述:

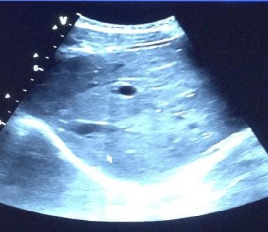
VE9在使用4C探头做腹部扫查的时候偶发性的出现由上至下的左右两面亮度不一样的一道分界线。


故障如图(二):

(图二)


故障分析与处理:

根据故障描述,这种情况属于偶发性故障,且在特定的检查部位出现。当更换扫查部位故障现象消失,因此可以排除硬件故障。分析应该是软件或者应用条件设置问题。


解决方法:

1.重新安装软件,导回应用条件,医生反应使用过程中故障依旧。

2.怀疑应用条件问题。将另外一台VE9的应用条件导入,无故障发生,确定是条件设置问题。

3.对比两台机器的应用条件,发现这台机器使用时医生开了4个焦点。

4.将焦点数设置为一个,试用后故障现象没有再发生,故障解决。



例3

“地线裸露”故障


故障描述:

检查病人时并无明显的干扰或者问题图像,只是偶尔图像会有像雪花飘散的感觉,在使用键盘的时候会有小区域的雪花干扰。


故障分析与处理:

首先检查键盘USB输入电压,测量电压正常,没有明显变化的电压变化,外壳也没有带电。测试DCDC输出电压正常。再次检查时发现键盘弹出不顺滑,不流畅。升高操作台,发现了问题:键盘下的地线卡到了滑道里,而且发现地线裸露在外的金属丝碰到金属物体,就会有干扰,这个接地是一个保护接地,区别一般接地,保护接地是防止电器部件表皮损坏时的漏电保护接地,有一定保护作用。

将线缆重新接回接地槽中时,故障没再发生。


小结:

此次故障一开始怀疑是USB接口带电造成在打字时出现干扰,后来经仔细查看发现了故障。


现介绍一下接地的基础知识:

1.机壳安全接地是将系统中平时不带电的金属部分(机柜外壳,操作台外壳等)与地之间形成良好的导电连接,以保护设备和人身安全。

2.机器逻辑地,也叫主机电源地,是计算机内部的逻辑电平负端公共地,也是+5V等电源的输出地。

3.信号回路接地,如各变送器的负端接地,开关量信号的负端接地等。

4.屏蔽接地(模人信号的屏蔽层的接地)



讨论


VividE9采用更高性能的AVA系统平台,全新设计的D系列探头,能实现更快速的图像传输,同时兼顾优异的图像质量4,是一种高性能的数字超声波成像系统,可全面管理数据。此系统可以在4D、2D(B)模式、彩色多普勒、能量多普勒(血管)、M模式、彩色M模式、PW和CW多普勒频谱、组织速度成像、高级应变以及造影应用下成像。VividE9设备具有全数字化结构,可以在整个操作频率的宽频范围内充分利用所有扫描模式和探头类型。


超声常见的故障有轨迹球运行不灵敏,散热风扇不转,显示器数据线接触不良等。但不同的设备有不同的故障,尤其在专科应用性较强的设备中,部分发生的故障罕见。单纯查阅说明书、查找文献往往难以得到更多的案例资料。只有通过不断总结,尤其是向厂家工程师学习,才能多了解、多分析、多应用、多预防。


因此,面对医疗仪器技术的迅猛发展,作为医院医疗设备维修的工作人员,必须不断学习新技术,尤其是多向厂家维修工程师学习,才能将维修工作圆满完成。通过学习及总结,注意预防性维修,定期对仪器进行检测,及时发现问题、解决问题,确保仪器日常的正常工作。


结论Vivid E9超声设备是目前性能较好的心脏疾病检查设备,发生故障的几率较低,报道文献少。通过多方面的总结学习,才能及时了解各种使用过程中可能发生的故障,以促进维修水平和质量管理水平的不断提升。


【参考文献】

[1]刘春浩.彩超简介和维修分析报告[J].中外健康文摘,2010年7月第7卷第19期;

[2]马静,曲俊朴,董金航等.正常人左心室收缩的超声三维斑点追踪[c],中华医学会第十三次全国超声医学学术会议,2013;

[3]周耀崇.彩超电源的组成原理与维修技巧[J].医疗卫生装备,2014年9月第35卷第9期。



往期精选

东芝SSA-550A超声 光标无法移动,图像没有扇形波
超声诊断仪的基本结构及维修实例
Philips IE33超声诊断仪7大常见故障处理



回复

使用道具 举报

您需要登录后才可以回帖 登录 | 立即注册

本版积分规则

Archiver|手机版|小黑屋|Comsenz Inc. ( 浙ICP备17000336号-1 )

GMT+8, 2025-10-31 14:24 , Processed in 0.074854 second(s), 33 queries .

Powered by Discuz! X3.4

© 2001-2017 Comsenz Inc.

快速回复 返回顶部 返回列表